Fotogalería de la vida diaria | Zoom a la viruela del mono; fiesta en el Coliseo…
3 fotos: un retrato de Silas Owiti, artesano keniano que trabaja con huesos de animales; un acercamiento al tejido de un mono infectado por viruela; fanáticos celebran el triunfo de AS Roma fuera del Coliseo.
A continuación, se presentan 3 imágenes destacadas por su contexto, realización y narrativa.
TOMA 1
Colores que contrastan con su medio ambiente. Un retrato de Silas Owiti, artesano keniano que elabora souvenirs hechos a mano y trabaja reciclando huesos de animales para elaborar piezas de joyería en un taller en Kibera, un sitio en Nairobi, capital de Kenia en África. El polvo que lo que cubre todo y parecería nieve se desprende de los huesos mientras se hace el trabajo de tallado y pulido. Así, expandiéndose por toda la estancia, se posa en la ropa y piel de los artesanos en el taller.

Thomas Mukoya/REUTERS
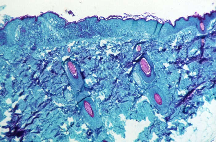
TOMA 2
Esta imagen es un acercamiento al tejido cutáneo de un mono infectado con viruela del mono. La toma, lograda en 1968 a partir de una magnificación de 50x, captura el estado de un salpullido en la piel del primate después de que el virus se cultivara por 4 días. La viruela símica o del mono es endémica de África, sin embargo, recientemente se identificó un brote en Reino Unido que ya se está expandiendo por varios países. Ayer, la Organización Mundial de la Salud ya había registrado 200 casos en el mundo, incluyendo 20 países donde el virus no es endémico.

Foto de CDC/via REUTERS
TOMA 3
El Coliseo se tiñó de amarillo y rojo: los colores de AS Roma, que ayer ondearon en la final de la Europa Conference League, torneo continental de los clubes oficiales del futbol europeo. La competencia es la tercera con más importancia en el Continente, después de la Champions League y la Europa League. Esta ocasión, el enfrentamiento final fue contra el equipo de Rotterdam: Feyenoord. El marcador que llevó a la Associazione Sportiva Roma a la victoria, terminó 1-0 tras disputarse la final en la Arena Kombëtare (o Air Stadium) en Albania.

Foto de Guglielmo Mangiapane/REUTERS
Contenido relacionado